
MYAデンタルオフィスの
インプラント治療の スゴイところ
治療期間が約3ヶ月で完了、
できるだけ早く患者さまに綺麗な歯を提供約45分を目安に実施(検査結果により前後します)。
身体への負担に配慮した手順で進めます。


先進機器で設計を可視化、
サージカルガイドで精密な埋入を再現
日本口腔外科学会認定医による
経験豊富なインプラント治療
10年経過の症例
CASE01
- BEFORE

- AFTER

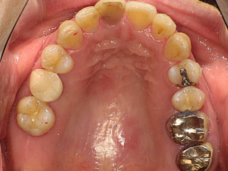
ケース① 50代・女性|10年経過
- 主訴
- 入れ歯に抵抗があり、咀嚼のしやすさを求めてインプラント治療を希望。
- 治療詳細
- 臼歯部にインプラントを埋入しました。
- 治療期間
- 約3か月
- 通院回数
- 5回
- 費用
- 928,800円(税込)
- リスク・副作用
- ・追加術後に一時的な腫れ・痛み・出血がみられることがあります。
・インプラント周囲炎を防ぐためメンテナンスが必要
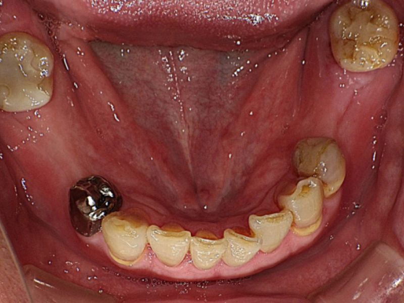
CASE02
- BEFORE

- AFTER

ケース② 40代・男性|13年経過
- 主訴
- 入れ歯に抵抗があり、咀嚼のしやすさを求めてインプラント治療を希望。
- 治療詳細
- 臼歯部にインプラントを埋入しました。
- 治療期間
- 約3か月
- 通院回数
- 5回
- 費用
- 928,800円(税込)
- リスク・副作用
- ・追加術後に一時的な腫れ・痛み・出血がみられることがあります。
・インプラント周囲炎を防ぐためメンテナンスが必要
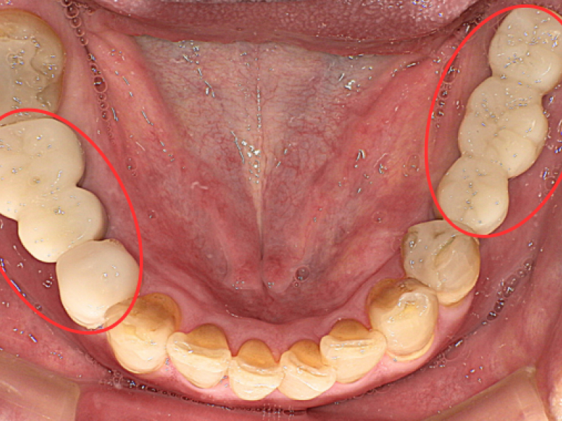
CASE03
- BEFORE

- AFTER

ケース③ 50代・男性|3年経過
- 主訴
- 入れ歯が合わないため、両側大臼歯部へインプラントを選択。
- 治療詳細
- 両側大臼歯にインプラントを埋入しました。
- 治療期間
- 約3か月
- 通院回数
- 5回
- 費用
- 2,365,000円(税込)
- リスク・副作用
- ・追加術後に一時的な腫れ・痛み・出血がみられることがあります。
・インプラント周囲炎を防ぐためメンテナンスが必要
治療精度にこだわる - - きちんと治るインプラント
当院が大切にしているのは、”ただインプラント埋入すること”ではなく、その後も長く安心して噛める状態を維持していただくことです。
インプラント治療は、埋入直後だけでなく、数年先の安定性が重要です。
そのため当院では、CTによる精密診断とシミュレーション、専用オペ室での安全な手術、そして術後の定期的なメンテナンスを徹底しています。
治療精度と長期安定性にこだわることで、”きちんと治るインプラント”を実現し、患者さまの食事や会話を支え続けます。

こんな生活を送りませんか?
かたいお肉やリンゴは、もう無理だとあきらめていた日々。
しかし、インプラント治療によって再び力いっぱい噛み締められるようになり、食事の時間が心から楽しみな瞬間へと変わりました。
また、人前で笑うことにためらいを感じていた方も、入れ歯のズレや見た目の不安から解放され、自然に笑えるようになりました。
会話も外食も、もう気にすることなく楽しめます。
そんな毎日を、あなたも手に入れませんか?
当院の
インプラントへの
こだわり
特 徴
“精密な治療計画と
経験”が導く結果 −
「再治療0件」
見た目と噛む力の両立をめざし、当院では「0.01mm単位での精密な治療計画」「精密な手術の再現性と治療実績」「インプラント術後の維持」の3点を柱に取り組んでいます。患者さま、一人ひとりの口腔内の状態を精密に検査と治療計画を行い、それに基づいた適切な治療プランを選びます。見える計画で治療を進めることがロスト抑制につながる。その考え方が、当院のスタンダードです。

精密な診査・設計
CT検査や口腔内スキャナーによる骨の量・質、噛み合わせ、全身のリスク因子まで確認。
精密なシミュレーションに基づき位置・角度・深度を数値で設計し、患者さまと手順・期間・費用の合意を行います。

ガイド下手術
設計データを反映したサージカルガイドを使用。清潔域の管理や麻酔・疼痛コントロールまで手順を標準化し、再現性の高い埋入を徹底します。

術後維持
創部の管理、かみ合わせの微調整、メンテナンス間隔の最適化、セルフケアの再教育まで、ロスト要因(感染・過負荷)への早期介入を実践します。
先進的な設備で科学的
根拠に基づいた
インプラント治療
インプラント治療は、細かな設計と調整が求められる治療です。当院ではプライムスキャンや歯科用CTを用い、デジタル情報にもとづいて計画を立てます。口腔内スキャンの歯型データと、CTによる骨の三次元情報を統合し、埋入位置・角度・深さなどを事前に確認します。これにより、手順や期間の見通しを共有しやすくなり、術中のばらつきを減らすなど安全性への配慮と正確性の向上に役立ちます。
01 /口腔内スキャナー
(3SHAPE TRIOS4)
3D口腔内スキャナーを用いて、歯面形態を三次元データとして取得します。効率的にデータ採得が行え、細かな形までデータ化します。見えにくい部分も画面で確認できるため、治療の流れをわかりやすく共有しやすくなるほか、治療精度向上が大幅に向上させることが可能です。
02 /歯科用3Dレントゲン
あごの骨や神経の位置を三次元で把握するための装置です。3D口腔内スキャナーで取得した歯列データと重ね合わせ、埋入位置・角度・深さの検討や治療計画の説明に活用します。これにより、計画の妥当性を確認しやすくなり、安全性への配慮や手順の可視化に役立ちます(結果には個人差があります)。
03 /位置・角度・深さを計画通り
に ― サージカルガイドを使用
サージカルガイドは、CTと口腔内スキャンのデータをもとにコンピュータシミュレーションで検討した埋入位置・角度・深さに合わせ、器具の方向づけを補助するツールです。計画どおりの位置決めを助け、周囲の神経や血管など重要構造への配慮をしやすくします。
世界的シェア率の高いインプラントの使用で高い適合性を実現
国内外で広く用いられているデンツプライシロナ社とオステム社のインプラントを採用していますインプラントメーカーは多数ありますが、当院では臨床データの蓄積、部材供給とサポート体制、症例に応じたインプラントを使用します。将来のメンテナンスや補綴の再製作にも配慮し、患者さまの状態に合わせて適切な構成を選定します。
治療後の安心に向けた保証制度
当院では、治療後のケアまで見据えた保証制度を設けています。
インプラント本体:5年間の保証が、院内規定に基づき対応します(適用条件あり)。万一の不具合が疑われる場合は、診査のうえ適切な処置や再製作の可否を判断します。定期的なメンテナンスとセルフケアを通じ、長く安定して使える状態の維持をともに目指します
失った歯を放置する リスク
欠損した歯を放置すると、噛み合わせや見た目だけでなく、あごや全身の負担にも悪影響を及ぼすことがあります。気づかないうちに症状が進行してしまうケースがありますので、健康の為にも早めに適切な治療を始めましょう。当院では、患者さまのお口と健康状態に合う、安全かつ精密なインプラント治療の方法をご提案します。

- 歯が伸びてくる
抜けた歯と噛み合わさっていた歯が、少しずつせり出すことがあります(挺出)。その結果、歯並びや噛み合わせが変わり、一部の歯に過度な力がかかる原因になります。

- 支えを失った歯が
傾く
抜けた歯の隣の歯は、空いたスペース側へゆっくり傾きやすくなります。歯列が乱れると清掃が難しくなり、虫歯や歯周病の再発リスクが高まることがあります。

- 噛み合わせのズレが
あごに負担
欠損した歯をそのままにしておくと、顎関節や咀嚼筋に負担がかかりやすくなります。人によっては口が開きにくい、こめかみが疲れるなどの違和感や顎関節症の原因となる場合があります。

- 老け顔に見える
噛む力が衰えていくと顔の筋力が低下します。個人差はありますが、しわやたるみの進行と頬の下がりにより、年齢感が強く見える可能性があります。

- 食べ方の変化が消化にも影響
咀嚼が足りない状態で飲み込むと、消化に時間がかかり、胃腸の負担につながる場合があります。

- 認知症を引き起こす
原因のひとつに
噛む力が弱まると咀嚼刺激が減り、脳への刺激が低下して、将来的な認知症リスクの一因とされることがあります。
欠損から時間が経っている、あるいは歯周病の進行などにより骨の量が不足している場合、インプラントが難しいと説明されることがあります。
当院ではまずCT等による精査とセカンドオピニオンを行い、状態に応じて骨造成の選択肢(ソケットリフト/サイナスリフトなど)を検討します。適応が見込めるケースでは計画とリスクをわかりやすくご説明し、インプラント以外の方法も含めて複数の提案をいたします。まずは現在の状態確認からご相談ください。
過去の診断で断られてしまった方へ
インプラント
顎の骨にインプラント体を埋め込み、かぶせ物をして人工の歯をつくるので自分の歯と同じように噛むことができます。
メリット
- ○ 自然な見た目と機能性が得られる
- ○ 隣の歯を削る必要がなく、口の健康を保ちやすい
デメリット
- × 自由診療
- × 外科的処置が必要
- × インプラント治療を受けることができない場合がある
ブリッジ
隣の健康な歯を支えにして、失った歯を補います。
メリット
- ○ 手術が必要ないため、インプラントよりも治療期間が短い
- ○ 安定した噛み心地を得られる
デメリット
- × 隣の健康な歯を削る必要がある
- × ブリッジのセルフケアが難しい
入れ歯
取り外しが可能な点が特徴的です。慣れるまでに時間がかかるかもしれません。
メリット
- ○ 保険適用の場合費用面で手軽
- ○ 手術が不要なため、体への負担が少ない
デメリット
- × 取り外しの手間がかかる
- × 硬いものが食べづらく、食べ物が詰まりやすい
- × 入れ歯をしていることがわかる場合がある
メリット
- ○ 自然な見た目と機能性が得られる
- ○ 隣の歯を削る必要がなく、口の健康を保ちやすい
- ○ 手術が必要ないため、インプラントよりも治療期間が短い
- ○ 安定した噛み心地を得られる
- ○ 保険適用の場合費用面で手軽
- ○ 手術が不要なため、体への負担が少ない
デメリット
- × 自由診療
- × 外科的処置が必要
- × インプラント治療を受けることができない場合がある
- ×隣の健康な歯を削る必要がある
- ×ブリッジのセルフケアが難しい
- × 取り外しの手間がかかる
- × 硬いものが食べづらく、食べ物が詰まりやすい
- × 入れ歯をしていることがわかる場合がある
リスク・副作用
- ・追加術後に一時的な腫れ・痛み・出血がみられることがあります。
- ・インプラント周囲炎を防ぐためメンテナンスが必要です。
- ・すべての患者さまに適用できない:顎骨の量や質が十分でない場合、喫煙者や全身疾患がある患者さまはインプラント治療が適用できないことがあります。
FLOW 治療の 流れ
インプラント治療は、失われた歯を回復するために適切で長期的な解決方法です。
当院では、患者さま一人ひとりの状況に合わせた治療を提供し、安心で精密なインプラント治療を行います。ここでは、当院のインプラント治療の流れをご紹介します。
STEP01

カウンセリング
はじめに、患者さまのお口の状態やインプラント治療に対するご要望・ご質問を伺うカウンセリングを行います。治療に対する不安を払拭し、患者さまが納得できる治療プランを立てるために丁寧なカウンセリングが行われます。
STEP02

診断と治療計画
次に、レントゲンや3D-CTスキャンなど先進的な検査機器を使用し、精密な診査・診断を行います。患者さまのお口の状態や骨の量を把握し、適切なインプラントサイズや位置を決定し、適切な治療計画を立案します。
STEP03

インプラント手術
治療計画に基づいてインプラント手術が行われます。局所麻酔を使用し、患者さまに不快感を与えずにインプラントを埋め込む手術ができるよう配慮しています。手術は日本口腔外科学会認定医の院長によって行われ、安心かつ精密なインプラント治療を行います。
STEP04

オステオインテグレーション期間
インプラントが埋め込まれた後、骨とインプラントがしっかり結合するための期間が必要です。これをオステオインテグレーション期間と呼び、患者さまによって異なりますが、通常3〜6ヶ月が必要とされています。
STEP05

上部構造の取り付け
オステオインテグレーションが終わりましたら、仮歯から永久歯(上部構造)への取り付けが行われます。この時、患者さまの噛み合わせや審美性を考慮して適切な形状の人工歯を選定し、手術後の快適な生活をサポートします。
STEP06

アフターケア
インプラント治療が終わった後も、定期的な検診やクリーニングを行い、インプラントが長期間持続するようなアフターケアを提供します。正しいケア方法や注意点も指導し、患者さまが安心してインプラントを使い続けられるようサポートします。
- 歯科医師/院長 奥田 美穂子
-
院長ご挨拶
インプラントは、見た目と噛む力を取り戻すうえで有力な選択肢ですが、結果を左右するのは「診査に基づいた設計」と「手術の再現性」、
そして「術後の維持」です。MYAデンタルオフィスでは、この三つを軸に、検査・計画・手術・メンテナンスまで一貫して伴走することを大切にしています。
まず、歯科用CTと口腔内スキャナーで得た三次元情報を統合し、埋入位置・角度・深さ、噛み合わせ、周囲組織の状態まで可視化します。
計画は画像や模型を用いて分かりやすく共有し、手順、期間、通院回数、費用の総額モデルや追加条件まで事前に説明します。
曖昧さを残さず、納得して進めていただくことが第一歩だと考えています。
手術では、シミュレーションと連動したサージカルガイドを用いて、計画どおりの位置決めをサポートします。重要な解剖学的構造への配慮や衛生管理、麻酔・疼痛コントロールの標準化に努め、必要に応じて歯科麻酔科医が立ち会う静脈内鎮静も選択可能です。恐怖心や嘔吐反射が強い方にも、状態を見極めながら無理のない方法をご提案します。
材料とシステムは、世界的に広く用いられているメーカーを中心に、長期の部材供給やメンテナンス性を含めて選定します。骨量が不足している場合には、CT評価のうえでソケットリフトやサイナスリフトなどの骨造成を選択肢の一つとして検討し、適応外であればブリッジや義歯といった代替案も含めて複数の道筋を提示します。
開院以来、インプラント体のロストがゼロ件という結果を継続しています。これは、無理のない適応の見極め、見える計画、術後メンテナンスの積み重ねが反映された数値だと受け止めています。対象期間や本数、追跡率などの前提条件は院内資料で明示しており、結果には個人差があることも合わせてお伝えしています。
インプラントは入れて終わりではなく、入れてからが本番です。治療中の見た目(仮歯)の配慮や、日常のセルフケア、定期的な検診・クリーニングまで、生活リズムに合わせた現実的な段取りを一緒に設計していきましょう。
まずは現在の状態を正確に把握し、不安や疑問をその場で解消できる時間をご用意します。
FAQ よくある質問
- Q
- インプラント治療にかかる期間はどのくらいですか?
- A
- インプラント治療の期間は患者さまの状況や治療内容によって異なりますが、通常3〜6ヶ月程度かかることが一般的です。オステオインテグレーション期間や、上部構造の調整期間が必要です。
- Q
- インプラント治療の費用はどのくらいかかりますか?
- A
- インプラント治療の費用は、使用するインプラントや上部構造の種類、治療内容によって異なります。
詳細な費用については、カウンセリング時に医師から説明があります。
- Q
- インプラントの寿命はどれくらいですか?
- A
- インプラントの寿命は適切なケアとメンテナンスが行われている場合、10年以上持続することが一般的です。一部報告では20年以上持続した例もあります。ただし、個人差や生活習慣が影響します。定期検診やオーラルケアを続けることが重要です。
医院情報
| 診療時間 | 月 | 火 | 水 | 木 | 金 | 土 | 日 | 祝 |
|---|---|---|---|---|---|---|---|---|
| 9:30 - 13:00 | ● | ● | ● | ● | ● | 9:30 - 17:00 | 9:30 - 13:00 | 休 |
| 14:00 - 18:00 | ▲ | ● | ● | ▲ | ● | 9:30 - 17:00 | 9:30 - 13:00 | 休 |
▲週により19:00に変動する可能性がございます。随時お問い合わせください。
※受付期間は18:00まで- 医院名
- 神戸市灘区/六甲道駅の歯医者|MYAデンタルオフィス
- 所在地
- 〒657-0864
兵庫県神戸市灘区 新在家南町1-2-1 サザンモール六甲 B612 1階
- 電話番号
- 078-822-1148
- アクセス
- 阪神「新在家駅」より徒歩2分



